脛骨は体重支えらないかんので 慎重にせないかんらしい。 レントゲンも骨の付きが悪いみたいで 来週また診察して電気治療するか決めるんげな(。∀) でも、手術で補強してるんで、脛骨は体重支えらないかんので 慎重にせないかんらしい。 レントゲンも骨の付きが悪いみたいで 来週また診察して電気治療するか決めるんげな(。∀) でも、手術で補強してるんで、脛骨高原骨折によりどのような後遺症が残るのか、それにより受け取れる慰謝料はいくらなのか、弁護士が解説いたします。 脛骨高原骨折の治療に手術は必要? 脛骨高原骨折の後遺症はどのようなものがある? 痛みの残存は後遺障害になる?

值得一看 胫骨平台 型骨折的手术治疗与探索 好医术早读文章 好医术 帮助医生高效提升医术
脛骨 骨折 手術 プレート
脛骨 骨折 手術 プレート-でも、手術した足の方がまだ感覚は鈍くて、触られても、 なんとなく、触られよるかも?? な、感じ。 これは、背中から注入中の痛み止めが原因なんだとか。 当たり前やけど、 脛骨骨折手術した足は むちゃくちゃ腫れとります!Open Wedge HTO手術とは 関節鏡にて関節内を観察します。 必要があれば不要な骨や組織を取り除きます。 皮膚を切開し、骨切りを行う脛骨を露出します。 周りの靭帯などを骨と剥がす作業も行います。 脛骨の骨切りを予定した角度に開いて行います。


急诊外科成功为一患者实施髌上入路胫骨骨折闭合复位髓内钉固定手术 科室动态 山东大学齐鲁医院
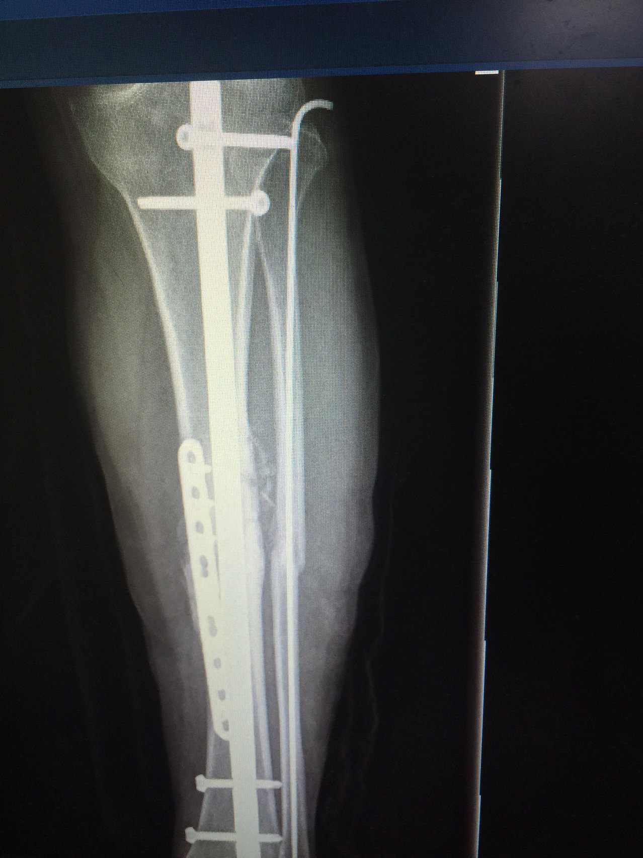
自分の場合、脛骨、腓骨、関節外果(2箇所)の計4箇所を骨折してしまいました。 ostra3さんと同様、骨折観血的手術を行い、現状右足はプレート2枚が入り、ボルトだらけになっています(笑)。 骨折記、拝見させていただきました。 色々と大変なんですね。下は脛骨というスネの骨にくっついており、 主に剥離骨折は、 脛骨側で起こりますので、 今回の前十字靱帯の付着部は 脛骨となります。 その脛骨の関節面にくっついています。 これは1つ特徴ですね。 前十字靱帯付着部剥離骨折の症状は?夫が転んで足を骨折し、入院・手術しました。 その経過記録です。 (水) お昼過ぎに「足怪我して今病院にいる」と電話が入る。 この日はたまたま母が整形外科の通院日になっており、夫は病院で私の両親と会い、事情を話して父がウチまで迎えに来てくれると言うので、仕度をして
手術の適応となることがあります。 脛骨内側顆疲労骨折 脛骨内側顆(けいこつ ないそくか)とは膝よりやや下の内側の部分です。この部位の疲労骨折はランニング、ウォーキングでみられます。骨粗鬆症などが背景にある場合が多いとされています。完全脛骨腓骨を骨折し、抜釘手術で1年2ヶ月ぶりにプレートが外れました。 抜釘手術後の経過 所要時間;1時間程度。前回の手術、プレート固定術の1/3。 麻酔方法;全身麻酔と神経ブロック。(前回は全身麻酔と硬膜外麻酔)負担の少ない手術であったはず。左脛骨疲労骨折 全治 手術後約4ヶ月の見込み コメント 今回の発表のとおり、昨年5月に行った手術と同じ場所を手術しました。前回よりも頑丈にする手術です。
自分の場合、脛骨、腓骨、関節外果(2箇所)の計4箇所を骨折してしまいました。 ostra3さんと同様、骨折観血的手術を行い、現状右足はプレート2枚が入り、ボルトだらけになっています(笑)。 骨折記、拝見させていただきました。 色々と大変なんですね。でも、手術した足の方がまだ感覚は鈍くて、触られても、 なんとなく、触られよるかも?? な、感じ。 これは、背中から注入中の痛み止めが原因なんだとか。 当たり前やけど、 脛骨骨折手術した足は むちゃくちゃ腫れとります!「ORIF」とは、"Open Reduction and Internal Fixation"の略です。Open=開けて、Reduction=補正して、Internal=内部を、Fixation=固定する、文字通り、皮膚を切開して開き、骨を直接固定する手術方法で、「観血的骨接合術」と言います。今回は、「ORIF」とは?そしてその手術方法などについて解説します。



脛骨腓骨骨折 髄内釘 抜釘手術の費用や治療後の経過についてレポート にちプチ Nichi Petit



胫骨平台骨折合并股骨远端骨折手术治疗一例 病例中心 诊疗助手 爱爱医医学网
脛骨高原骨折によりどのような後遺症が残るのか、それにより受け取れる慰謝料はいくらなのか、弁護士が解説いたします。 脛骨高原骨折の治療に手術は必要? 脛骨高原骨折の後遺症はどのようなものがある? 痛みの残存は後遺障害になる?脛骨高原骨折の治療としては、 手術をする方法としない方法があります。 しかし、どちらにも共通するのは、 体重をかけるのはしっかり骨がくっついたあと ということです。 そのため、受傷後、 体重をかけない。松葉杖で片足歩行。 ということになり交通事故の被害に遭い、脛骨骨折や腓骨骨折の怪我を。 その後、もしも後遺症が残ってしまったとしたら。 これからも長く続く治療やリハビリの生活では、 脛骨骨折・腓骨骨折から回復するために支払う治療費 怪我をしたことや後遺症が残ったことによる精神的苦痛に対する慰謝料 将来



骨折手術後為何沒好 醫師 還要補對營養素 骨科 復健 科別 元氣網


3月龄幼猫右后肢胫骨远端粉碎性骨折并伴有骨裂 及时采用安徽佰陆小动物骨科prcl系统s号双板技术解剖复位 威海经济技术开发区米果宠物服务中心


伤情通报 多拉多胫骨骨折将手术治疗



黄骨头胫骨平台骨折手术日记 胫骨平台后外侧粉碎性骨折一例 手术已做 骨科专业讨论版 丁香园论坛


Victory Animal Hospital



好痛痛 醫療與治療 11 膝蓋的脛骨平台骨折 By 羅一強物理治療師


右胫腓骨粉碎性骨折的手术 疾病分享 快速问医生



这个平台骨折如何分型及治疗 骨科专业讨论版 丁香园论坛



胫骨骨折翻修 博美 采用hyprotect Prcl S银离子抗菌骨板系统进行内固定手术 蒋祖龙医生 Bluesao 佰陆



黄骨头胫骨平台骨折手术日记 胫骨平台后外侧粉碎性骨折一例 手术已做 骨科专业讨论版 丁香园论坛



脛骨平台骨折清創手術拆線全紀錄 敬 台北榮總醫院骨科男神蘇宇平主治醫師 陳冠林住院醫師 王玉英專科護理師 拆線過程講出了許多醫界小秘辛


胫骨平台骨折切开复位钢板螺丝钉固定术 哔哩哔哩 つロ干杯 Bilibili


胫腓骨骨折愈合时间 Www Dingjisc Com



疾病详情 疾病 人卫临床助手 人民卫生出版社


膝關節的手術治療 骨哥論壇


骨折関連疾患


右胫骨平台及胫骨上段骨折术前 磐安骨伤医院



胫腓骨骨折手术配合及访视下载 Ppt模板 爱问共享资料



骨科李宜軒醫師 脛骨平台骨折tibia Plateau Fracture 脛骨近端骨折proximal Tibia Fracture



小孩胫骨骨折 为啥这条腿后来变长了


骨折延遲癒合 成大馬克書坊 林啟禎醫師筆記 隨意窩xuite日誌



胫骨骨折的微创手术治疗 医学微视



4e8gtwswm5n4cm


右胫骨平台及胫骨上段骨折内固定术后 磐安骨伤医院



專業手術 職業運動員的手肘骨折 骨科蔡依樽醫師


骨大夫


急诊外科成功为一患者实施髌上入路胫骨骨折闭合复位髓内钉固定手术 科室动态 山东大学齐鲁医院


Coa 16 刘国辉教授谈复杂胫骨平台骨折手术策略 中华创伤骨科网



胫骨骨折踝骨三处断裂 知乎



胫骨远端短斜开放性骨折 家猫 Prcl S 系统拆板手术成功 宋李旦医生 Bluesao 佰陆



值得一看 胫骨平台 型骨折的手术治疗与探索 好医术早读文章 好医术 帮助医生高效提升医术



專業手術 職業運動員的手肘骨折 骨科蔡依樽醫師


两例胫腓骨骨折治疗的选择 刻骨甘露 微信公众号文章阅读 Wemp



小腿骨折手术要多久 专家文章 博禾医生


Mipo技术微创治疗胫骨中下段骨折 健康号 微医



在家遊戲有危險 赤腳玩ringfit 易骨折 Page 5 Of 5 新城健康



病例详情 病例 人卫临床助手 人民卫生出版社



胫骨平台骨折的微创治疗



值得一看 胫骨平台 型骨折的手术治疗与探索 好医术早读文章 好医术 帮助医生高效提升医术



骨科李宜軒醫師 脛骨平台骨折tibia Plateau Fracture 脛骨近端骨折proximal Tibia Fracture


骨髓內釘治療脛骨幹骨折的經驗分享


微創骨科李沅達醫師 Home Facebook


胫骨近端骨折合并骨筋膜室综合症病例分享 Coita中国研究型医院协会骨科创新与转化专业委员会



被撞斷腿差點要截肢皮肉重建好神奇 一般外科 科別 元氣網


猎犬骨折外固定支架手术恢复正常 洛阳宠物医院 洛阳宠儿康宠物医院



右胫骨下段粉碎性骨折 知乎



想問各位骨折的問題 心情板 Dcard



骨科完成国内首例骨科机器人辅助下膝关节镜儿童后交叉韧带胫骨止点骨折复位内固定术 院内新闻 新闻中心 四川省医学科学院 四川省人民医院 官方网站



B 磷酸三钙在老年胫骨平台塌陷性骨折中的应用 参考网


胫骨骨折术后1小时 爱言情



胫骨平台骨折手术设计ppt下载 Ppt模板 爱问共享资料



骨折后钢板要取吗 什么情况下取钢板



张建中教授推荐好文 胫骨远端前外侧入路治疗pilon 骨折的初步经验 医栈文章


德化县医院骨一科完成德化首例3d打印股骨和胫腓骨实体模具治疗股骨和胫骨骨折术后畸形愈合手术 雪花新闻



病例详情 病例 人卫临床助手 人民卫生出版社


高处坠落致左胫腓骨骨折 医联


两例胫腓骨骨折治疗的选择 刻骨甘露 微信公众号文章阅读 Wemp


Ilizarov 技术 创伤后膝关节屈曲畸形和马蹄足畸形 自由微信 Freewechat


泰兴市人民医院


犬胫骨感染性内固定的修复案例 宠物医生吴仲恒博士 微信公众号文章阅读 Wemp



胫骨平台骨折合并股骨远端骨折手术治疗一例 病例中心 诊疗助手 爱爱医医学网


经改良前外侧腓骨小头上入路复位内固定治疗累及后外侧柱胫骨平台骨折 中国修复重建外科杂志 唯一官网



脛骨粉碎性骨折有可能完全恢復正常嗎 壹讀



骨科李宜軒醫師 脛骨平台骨折tibia Plateau Fracture 脛骨近端骨折proximal Tibia Fracture



胫骨平台骨折手术入路 腓骨头上入路 好医术早读文章 好医术 帮助医生高效提升医术



微创胫骨平台骨折及膝关节不稳定手术治疗


脛骨骨折 骨折 整形外科 診療科目 エルムス動物医療センター



腓骨骨折康复记录 知乎



小伙儿车祸膝盖骨骨折 神奇膝关节镜手术帮大忙 郑州人民医院官方网站



骨折日記40 抜釘手術から8か月経過



小伙儿车祸膝盖骨骨折 神奇膝关节镜手术帮大忙 郑州人民医院官方网站



胫骨中段粉碎性骨折 英短猫 Prcl S 系统内固定手术成功 杨雷医生 Bluesao 佰陆



腓骨粉碎性骨折 Www Dingjisc Com


建业官方 多拉多胫骨骨折 将手术治疗 凤凰网
/cloudfront-ap-northeast-1.images.arcpublishing.com/appledaily/KYQQO4RF3NEHHD4FAW7QXHVFJU.jpg)


伍茲車禍 詳細傷勢出爐右腳脛骨 腳踝開放性骨折 蘋果新聞網 蘋果日報


病例分享 金毛胫骨螺旋型骨折 Prcl锁定骨板病例


病例分享 金毛胫骨长斜骨折 Prcl系统内固定手术病例分享 四月龄



外媒 舒库洛夫右脚踝胫骨骨折将接受手术 将休战5个月 虎扑中国足球新闻


Coa 16 刘国辉教授谈复杂胫骨平台骨折手术策略 中华创伤骨科网



成功保留膝關節截骨矯正手術代替破壞性人工關節換置術 Ettoday健康雲 Ettoday新聞雲



胫骨平台骨折合并股骨远端骨折手术治疗一例 病例中心 诊疗助手 爱爱医医学网


遠端脛腓骨開放性骨折治療心得分享


半程马拉松世界纪录保持者遇交通事故胫骨骨折已接受手术 腾讯新闻



该做手术的骨折却保守治疗 容易引起的6大并发症 一定要注意 知乎



胫骨平台骨折手术



脊椎粉碎性骨折手术 第1页 一起扣扣网



成大醫院 訊息中心



小伙新年飞来横祸被车撞 6种胫骨平台骨折保守治疗 你了解吗 知乎



常見運動傷害 骨折 Jibao 洞悉教材的趨勢



车祸 胫腓骨折 请问有什么后遗症吗 该小问短知乎



骨折不愈合手术后出院了



病例详情 病例 人卫临床助手 人民卫生出版社



胫骨平台骨折 知乎



骨折日記2 脛骨高原骨折で入院 手術となりました Michiko


泰兴市人民医院